Caso foi descrito em periódico médico e expõe os riscos de terapias alternativas que prometem aliviar dor, mas podem agravar doenças como a osteoartrite.
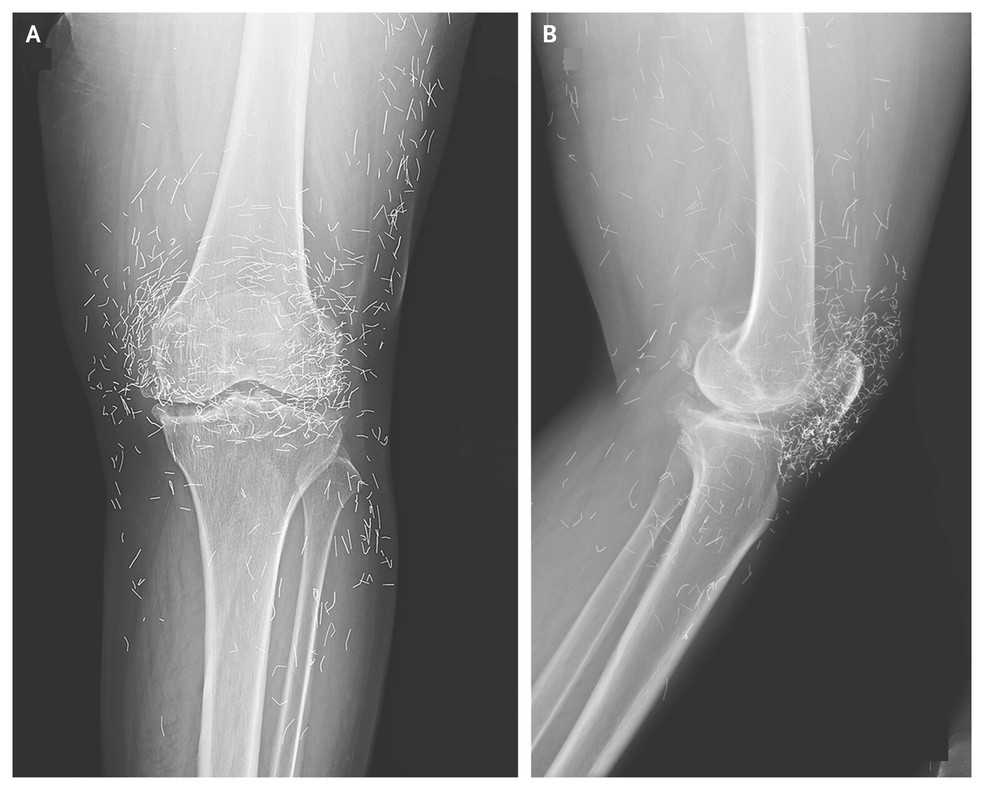
Mulher tem raio-x com pontos brilhantes e médicos descobrem resíduo de acupuntura — Foto: New England Journal of Medicine
Uma mulher de 65 anos buscou atendimento relatando dores fortes nos joelhos depois de um diagnóstico de osteoartrite. O médico pediu um raio-X para avaliar a região e levou um susto com a imagem: havia vários pontos brilhantes no tecido ao redor da articulação. Segundo o especialista, eram “fios de ouro” deixados por um tratamento alternativo ao qual ela havia recorrido (veja a imagem acima).
O caso foi relatado no jornal New England Journal of Medicine, em que os autores fazem um alerta sobre a busca por terapias sem evidência científica — prática que pode piorar quadros como o da osteoartrite e atrasar tratamentos eficazes.
Segundo o ortopedista, o corpo da paciente reagiu ao material, o que agravou ainda mais a dor. E não há forma segura de remover esses fios.
É um corpo estranho dentro do organismo. Isso infelizmente não tem como ser removido. Como é um corpo estranho, pode gerar um quadro de infecção. A paciente foi atrás de um tratamento alternativo para uma doença que tem tratamento eficaz e arrumou um problema que vai acompanhá-la para o resto da vida. — Alexandre Pena, ortopedista da Beneficência Portuguesa
O que aconteceu?
A mulher havia recebido naquele ano um diagnóstico de osteoartrite e iniciado um tratamento com analgésicos e anti-inflamatórios para controlar a dor, sintoma da doença.
A osteoartrite é uma doença da cartilagem articular e faz parte das doenças degenerativas. Com o passar do tempo, a cartilagem — que recobre as articulações e permite movimentos sem atrito — perde espessura e função, de forma semelhante ao envelhecimento da pele.
Na maioria dos casos, isso ocorre pelo desgaste natural da idade. Em outros, pode surgir após traumas, como fraturas que machucam a cartilagem.
Os tratamentos variam conforme o estágio da doença e podem incluir fisioterapia e fortalecimento muscular para proteger a articulação, ou, nos casos mais avançados, intervenções cirúrgicas.
No entanto, no caso da idosa, ela decidiu recorrer a um procedimento apresentado como alternativo: sessões de acupuntura com ditas partículas de ouro.
Como isso é feito? Durante a terapia, pequenas partículas — ditas de ouro — são colocadas na ponta da agulha e acabam sendo inseridas no corpo. Há dezenas de posts em redes sociais oferecendo esse tipo de serviço como “tratamento para dor”.
Essas partículas não conseguem ser absorvidas pelo corpo e acabaram ficando acumuladas na região já doente e ampliando a dor.
Os médicos decidiram relatar o caso como alerta sobre terapias que prometem resultados, mas não têm qualquer evidência científica.
“Ela tinha um quadro de artrose de joelho, e essa doença tem diversos tratamentos, até cirúrgicos, com excelentes resultados. Não faz sentido buscar alternativas se existe um tratamento consagrado e eficaz. A paciente, infelizmente, foi enganada por quem fez a ela essa promessa e piorou o quadro”, explica Pena.
Acupuntura funciona nesse caso?
O ortopedista explica que há evidências de que a acupuntura pode ajudar como tratamento paliativo para dor, mas não é capaz de reverter quadros de osteoartrite — nem qualquer outra doença degenerativa.
“A terapia trata localmente, mas não é capaz de fazer regenerar qualquer tecido ou de ajustar qualquer área com disfunções no corpo”, afirma.
Pena alerta ainda para o apelo de terapias “alternativas”, principalmente nas redes sociais.
“Provavelmente essa paciente não queria passar por uma cirurgia, mas não é porque ela não queria que uma coisa ‘alternativa’ iria funcionar. É preciso cuidado com buscar aquilo que a gente quer ouvir”, diz.
O Conselho Federal de Medicina (CFM) reconhece a acupuntura como especialidade médica e orienta que os pacientes busquem profissionais capacitados para o procedimento.
Fonte: Portal G1.
Confira esta e outras matérias na íntegra pelo link: https://g1.globo.com/saude/noticia/2025/12/14/raio-x-revela-fios-de-ouro-no-joelho-de-idosa-e-acende-alerta-sobre-terapias-sem-evidencia-cientifica.ghtml
